Meerschweinchen Krankheiten / Gesundheit

Welche Erfahrung habt ihr mit Blasenstein/Blasenstein OPs?

Umgang mit kranken Schweinchen, Therapien, Medikamente und Heilungsverlauf.

  • Hallo liebe Meerie Freude,


    ich habe mich heute mal durch die Blasenstein Threads "durchgearbeitet", um zu schauen, wie ihr mit dem Thema umgegangen seid. Da gab es mit den medikamenten auf jeden Fall schon mal viele Überschneidungen :-) Ich habe mir auch noch direkt das Eurologist bestellt, das haben wir nämlich noch nicht ausprobiert.


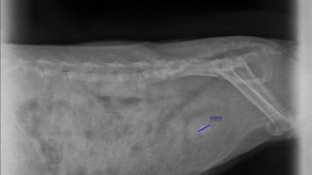
    Unser Flash (ca. 4,5 Jahre, männlich) hat einen Blasenstein (ca. 6-7 mm groß) und leider dazu eine mittelgradige Mitralklappeninsuffizienz. Den Stein haben wir erst versucht aufzulösen mit Rodicare Uro + UTI KN Tabletten. Leider hat das nicht den gewünschten Effekt gebracht. Flash hat immer wieder mal Probleme mit der Blase, zwar keine schlimme Entzündung, aber immer mal Reizungen und Schmerzen beim Urin absetzten. Mit Metacam haben wir das aber immer gut in den Griff bekommen. Die anderen Medikamente bekommt er seit der Diagnose dauerhaft.


    Die Herz Diagnose war ein Zufallsbefund und stellt uns jetzt leider vor eine richtig blöde Entscheidung. Lassen wir den Stein operieren oder nicht? Natürlich kann sich erneut ein Stein bilden, das wissen wir, nur dieser macht ihm Probleme und die Tendenz, das er größer wird ist da.

    Wenn man Flash so sieht, würde man weder das eine noch das andere vermuten, er ist fit wie ein Turnschuh! Er flitzt, springt und rennt wie verrückt :-)

    Die Futtergabe haben wir umgestellt auf viel Blattgemüse und wenig kalciumreiches Frischfutter. Trockenfutter (Erbsenflocken/Pellets) gibt es allgemein bei unseren insgesamt 8 Schweinchen nur mal als Leckerchen.


    Wir sind hin und her gerissen, tendieren aber zu einer OP, da er noch so fit ist und auch noch nicht so alt.

    Mit der Tierklinik Posthausen haben wir einen erneuten Kontroll-US vom Herzen Anfang Februar vereinbart. Sollte die Kardiologin ihr go geben, werden wir die OP dann wahrscheinlich am nächsten Tag dort machen lassen.


    Wie sind eure Erfahrungen mit Blasenstein OPs? Ich freue mich auf eure Berichte.


    Liebe Grüße

    Claudia


  • Wäre zertrümmern mit Schallwellen evtl ne Option? Das wäre nicht invasiv. Bei meinem Schwein ging das nicht, weil der Stein vom Beckenknochen verdeckt wurde. Bei ihr wurde der Stein dann rausgeangelt, das war zwar unter Narkose, aber ohne OP. Weiß nur nicht, ob das bei Männchen überhaupt geht. Gute Besserung!

  • Wäre zertrümmern mit Schallwellen evtl ne Option? Das wäre nicht invasiv. Bei meinem Schwein ging das nicht, weil der Stein vom Beckenknochen verdeckt wurde. Bei ihr wurde der Stein dann rausgeangelt, das war zwar unter Narkose, aber ohne OP. Weiß nur nicht, ob das bei Männchen überhaupt geht. Gute Besserung!

    Ich glaube, dass wird eher bei Weibchen gemacht, wegen der Gefahr des Stecken bleiben in der Harnröhre. Wenn das eine Option wäre, denke ich, das hätte die Ärztin vorgeschlagen, aber ich werde es trotzdem mal ansprechen.

  • Hmm... 6 -7 mm ist schon eine Hausnummer....
    Es gibt ja verschiedene Narkosen. Evtl fragst du mal die Kardiologin?
    Wobei ich denke, dass wenn sie ihr OK gibt, dass ihr es wagen könnt. Der Stein muss ja irgendwie weg und die Gefahr ist groß, dass er die Harnröhre verstopft.

    Ja deswegen werden wir es wohl auch machen. Wir haben letzten Dienstag mit der Kardiologin und der Heimtierspezialistin gesprochen und die Kardiologin ist auch dafür, es sei denn es stellt sich beim US Anfang Februar heraus, dass seine Herzgeschichte sich deutlich verschlechtert hat

  • Ich habe mit OP bei einem blasenstein eines männlichen Tieres keine gute Erfahrungen.

    Der stein konnte problemlos entfernt werden, jedoch konnte mein alfi keinen Urin absetzen, bin immer wieder in den notdiendt gefahren, wegen Ultraschall gefragt usw. Der Urin ist wohl in den bauchraum geflossen und halt nach der OP nicht nach ich sag mal außen normal abgegangen. Er bekam Fieber nach der 2. OP und mußte erlöst werden. Ich drücke euch fest die Daumen.🍀

  • Ich habe mit OP bei einem blasenstein eines männlichen Tieres keine gute Erfahrungen.

    Der stein konnte problemlos entfernt werden, jedoch konnte mein alfi keinen Urin absetzen, bin immer wieder in den notdiendt gefahren, wegen Ultraschall gefragt usw. Der Urin ist wohl in den bauchraum geflossen und halt nach der OP nicht nach ich sag mal außen normal abgegangen. Er bekam Fieber nach der 2. OP und mußte erlöst werden. Ich drücke euch fest die Daumen.🍀

    Das tut mir von Herzen leid <3 sowas wünscht man wirklich niemanden. Ich danke dir! Wir sind akktuell echt hin und her gerissen, es vielleicht doch noch einmal mit Medikamenten zu probieren, also den Stein aufzulösen. Keine Ahnung wie groß das Risiko ist, das der Stein durch diesen Vorgang kleiner wird und dann in die Harnröhre wandern, dort stecken bleibt und wir einen Notfall haben...

  • Bekommt das Schweinchen weiter die UTI KN Tabletten. Ihr könnt im Akutfall auch täglich 2 davon geben.
    Ich hoffe, das der Stein die Wochen bis Anfang Februar da auch bleibt wo er ist...


    Ich drücke fest die Daumen! <3

    Dankeschön! Ja er bekommt weiterhin 2 Tabletten täglich verdünnt mit Wasser (pro Tablette bekommt er dann 4-5 Spritzen (1ml) Flüssigkeit, die nimmt er auch sehr gern. Zusätzlich Rodicare Uro 0,3 ml auch 2x täglich.

  • Wenn der Stein sich nicht durch die UTI Tabletten auflöst, wird nur die OP bleiben und bis dahin die Gefahr, dass sich der Stein in der Harnröhre festsetzt....

    6-7 mm ist schon kein kleiner Stein...
    Ich würde im Moment tatsächlich auch jede "Erschütterung" vermeinden, die zu vermeiden ist....

  • Hallo zusammen,


    ich wollte euch ein Update bezüglich Flash geben :-)

    Nach langem Überlegen, recherchieren und erneutem Gespräch mit der Tierärztin, hatten wir beschlossen, es doch noch mal mit Medikamenten zu versuchen. Ich habe dann Eurologist (chinesische Kräuter für Tiere) online bestellt und es kam dann direkt ein paar Tage später. Ich bin ehrlich, wir hatten gar keine Erwartung, wollten es aber versuchen, um möglicherweise doch noch eine OP umgehen zu können.

    Flash hat die Tabletten 2 Wochen lang wie empfohlen bekommen, 2x2 Tabletten pro Tag (haben diese in Wasser gelöst und mit einer Spritze direkt ins Mäulchen gegeben.) Bereits nach einigen Tagen hat Flash vermehrt weiße Flecken im Gehege hinterlassen (Vlieshaltung). Dies haben wir als gutes Zeichen wahr genommen. Nach diesen 2 Wochen sind wir zur US Kontrolle zum Arzt gegangen, um zu schauen, ob es überhaupt in irgendeiner Weise eine Wirkung gibt. Beim US der Blase haben wir noch gut Schlamm/Gries in der Blase sehen können - ABER KEINEN STEIN!!! Sowohl der Arzt als auch wir waren baff :-) Er hat sich direkt nach dem Medikament erkundigt, da er es nicht kannte.

    Wir haben die Dosis noch weiter gut eine Woche so gehalten und dann erneut geschallt (irgendwie konnten wir es nicht glauben;-)) Der Schlamm war deutlich weniger und weiter auch kein Stein zu sehen. Wir sind soooooooooooooo unglaublich happy - das wollte ich einfach mal teilen :-) und wer weiß, vielleicht hilft es jemand anderem bei seiner Entscheidung.

    Schon sehr traurig, das es die Ärzte, bei denen wir waren (und das waren einige) das Medikament nicht kannten bzw.. eine Ärztin schon, aber meinte, sie kennt nur die Fälle, wo es nicht geholfen hat, da die Leute dann zur OP zur ihr kamen...

    Jetzt bekommt Flash die Erhaltungsdosis mit 1x1 Tablette täglich und in 5 Wochen sollen wir noch einmal zur Kontrolle. Wenn es dann gut aussieht, werden wir die Tabletten vielleicht ganz absetzten können :-)

  • Hallo,


    ein kleines Update zu Flash:

    leider zeigt er wieder Symptome einer Blasenentzündung. Nach Kontrolle beim TA (US Blase ergab wieder mehr Gries, aber keine Steine) gibt es nun seit Feststellung die erhöhte Dosis von Eurologist (soll auch bei Blasenentzündung helfen) und Metacam.

    Es scheint, als müssten wir wohl auf Dauer und zumindest länger noch die erhöhte Eurologist Dosis geben. Zum Glück ist er ansonsten gut drauf. Er hatte parallel zur Blasenproblematik auch noch auffälligen Kot (weich mit Zipfel), bei dem nach Untersuchung Hefepilze gefunden wurden. Dagegen gab es ein Medikament (Nystatin), welches auch gut geholfen hat.

    Ich hoffe, das Gröbste ist jetzt geschafft.


    Liebe Grüße

Ähnliche Themen wie Welche Erfahrung habt ihr mit Blasenstein/Blasenstein OPs?